Boş Gebelik

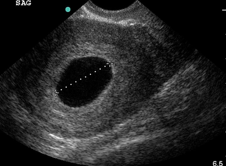
Gebe kadınların düşük yapmaları her zaman aynı belirtilerle meydana gelmez. Kimi zaman kanama ya da ağrı başlamamış iken tanısı koyulabilen düşükler de mevcuttur. Hamilelik kesesi görülmesine rağmen embriyonun gelişmemesi ya da çok erken gelişmesinin durması sebebiyle görülmemesi Anembriyonik hamileliği düşündürür ve bu hal bir düşük çeşitidir. Boş gebelikte hamilelik kesesini meydana getiren zar ve plasenta bulunurken, bunun içinde fetus bulunmaz.


Boş gebeliğin aslında normal bir hamilelikten hiçbir farkı yoktur. Fakat ultrason kontrolünde bunun doğru olmadığı fark edilebilir. Ultrasonda gebelik kesesi içerisinde embriyo görülmesi gerekirken, embriyo görülmez. Bu durumda teşhis konur.

Sperm ve yumurtalarda kalite düşüklüğünden ya da kromozomal bir anomaliden kaynaklanır. Hemen kalıtsal olduğu düşünülmemelidir. O gebeliğe mahsustur, tekrarlama olasılığı düşüktür. Ancak 2 ya da daha fazla düşük yaşandığında anne ve babada kalıtımsal bir sorundan olduğu düşünülebilir.

Anembriyonik hamilelik tanısının kesin olduğu durumlarda gebeliğin en kısa sürede kürtajla sonlandırılması gerekir. Bir sonraki adet döneminden sonra yeniden hamile kalmak denenebilir.

Prof. Dr. Osman BALCI
Boş Gebelik
Boş Gebelik


Etiketler: Boş Gebelik ,
Tüm Hakları Saklıdır.
© 2012